Sau khi bọc răng sứ chắc chắn bạn sẽ cảm thấy đau nhức hoặc ê buốt nhẹ khi ăn nhai. Nhưng đó là những biểu hiện bình thường và sẽ thuyên giảm trong khoảng thời gian từ 1 – 2 ngày. Còn với những biểu hiện bất thường thì như thế nào? Hãy cùng tham khảo bài viết này để tránh những hậu quả đáng tiếc xảy ra.
Nội dung chính:
1/ Biểu hiện bất thường sau khi bọc răng sứ là gì?
Bọc răng sứ được biết đến là phương pháp phục hình răng thẩm mỹ được ưa chuộng nhất hiện nay. Vì bạn không cần mất quá nhiều thời gian để điều chỉnh lại hàm răng của mình như niềng mà vẫn có được kết quả như mong muốn.
Vì vậy rất nhiều người tìm đến phương pháp bọc răng sứ. Và họ thường lo lắng đến vấn đề Bọc răng sứ có đau không? Bọc răng sứ bao nhiêu tiền? Bọc răng sứ loại nào tốt nhất hiện nay? Mà họ quên mất rằng những biểu hiện sau khi bọc răng sứ cũng cần được quan tâm.

Đau nhức sau khi bọc răng sứ
Thông thường sau khi bọc răng sứ bạn sẽ thấy hơi đau nhức và ê buốt, tình trạng này không có gì đáng ngại và nó sẽ biến mất trong khoảng thời gian từ 24 – 48 tiếng. Nhưng nếu bạn có những dấu hiệu bất thường khác hoặc tình trạng đau nhức kéo dài thì rất có thể bạn đã gặp một số triệu chứng bất thường sau khi bọc răng sứ.
Vậy biểu hiện bất thường sau khi bọc răng sứ là gì?
Tình trạng đau nhức kéo dài
Đau nhức là biểu hiện bình thường sau mỗi ca bọc sứ. Nhiều người do cơ địa có thể kéo dài 3 – 4 ngày, nhưng tình trạng này sẽ giảm dần thì không có gì đáng lo ngại. Còn nếu kéo dài và tái phát trong 1 ngày với nhiều lần thì bạn cần đến ngay nha khoa để thăm khám lại. Vì rất có thể bạn đã gặp biến chứng sau khi bọc sứ.
Sưng tấy nhưng không đau nhức
Sau mỗi ca bọc sứ viền nướu nơi tiếp xúc với răng sứ thường có màu tái nhẹ và không gây đau đớn. Và chúng sẽ biến mất sau vài ngày trả lại màu nướu hồng cho bạn.
Nhưng tình trạng sưng tấy nhưng không đau nhức hoặc chỉ đau nhức khi bạn ấn tay vào chỗ sưng thì bạn đang gặp biến chứng cực nguy hiểm. Vì lúc này nướu đã bị viêm và cần phải điều trị ngay.

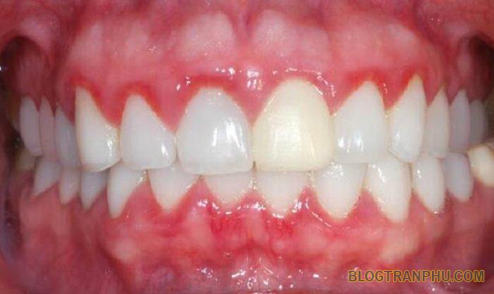
Nướu bị sưng đỏ sau khi bọc răng sứ
Nướu bị sưng đỏ và xuất hiện những đốm trắng nhỏ
Nướu bị sưng đỏ kèm theo những nốt nhỏ li ti xuất hiện trên nướu thì cũng là một trong những triệu chứng bất thường sau khi bọc răng sứ. Vấn đề này xảy ra có thể do bệnh lý răng miệng trước đó không được điều trị.
Răng sứ cộm cấn, hay mắc thức ăn
Sau khi bọc răng sứ bạn cảm thấy cộm, hơi vướng víu khi ăn nhai và thức ăn hay bị mắc lại ở chân răng thì nên đến nha khoa để bác sĩ điều chỉnh lại bọc răng sứ cho bạn.
Nếu tình trạng này kéo dài không được điều chỉnh thì rất có thể bạn sẽ gặp những vấn đề như cùi răng bị vi khuẩn tấn công gây sâu, mủn chân răng và tự rụng gãy. Hay biểu hiện sớm hơn đó là tình trạng hôi miệng do thức ăn bị vi khuẩn làm chuyển hóa thành axit.
2/ Nguyên nhân gây ra tình trạng đau bất thường này?
Có rất nhiều nguyên nhân chủ quan và khách quan có thể gây nên tình trạng đau bất thường sau khi bọc răng sứ. Dưới đây sẽ là một số nguyên nhân gây nên tình trạng này:
Do tay nghề bác sĩ: Bác sĩ không có chuyên môn cũng như kiến thức chuyên sâu về bọc răng sứ thì khi thực hiện rất có thể gây ra những tình trạng như: mài răng bị quá tay gây xâm lấn đến tủy răng, lấy dấu răng bị sai dẫn đến thông số khi thiết kế bị sai dẫn đến mão sứ và cùi răng không sát khít với nhau.
Không điều trị bệnh lý răng trước khi thực hiện bọc răng sứ. Các bệnh lý như sâu răng, viêm tủy, viêm nha chu… đều phải điều trị trước khi bọc răng sứ. Như vậy mới đảm bảo không làm cho tình trạng bệnh thêm nặng và có được kết quả phục hình tốt nhất.

Do tình trạng viêm nha chu không được điều trị
Do trang thiết bị, công nghệ: Trang thiết bị và công nghệ lạc hậu thì tình trạng bọc răng sứ của bạn sẽ không có được kết quả lâu bền và tốt nhất. Ngoài ra nó có thể làm cho bạn bị viêm nhiễm do không được vô trùng an toàn và đúng theo tiêu chuẩn.
Do chế độ ăn uống và vệ sinh răng miệng: Chế độ ăn uống và vệ sinh răng miệng sau khi bọc răng sứ cũng rất quan trọng. Vì nếu bạn ăn uống đồ ăn quá nóng, lạnh, cứng cũng khiến cho tình trạng đau nhức kéo dài. Việc vệ sinh răng miệng quá mạnh cũng khiến cho nướu bị tổn thương, dẫn đến tình trạng sưng tấy, tụt lợi sau khi bọc răng sứ.
Khi thấy bản thân có những biểu hiện đau nhức, sưng tấy hay tụt nướu sau khi bọc răng sứ thì bạn nên quay lại các cơ sở nha khoa để thăm khám xác định nguyên nhân gây là gì và có hướng giải quyết phù hợp.
3/ Cách khắc phục tình trạng đau nhức sau khi bọc răng sứ
Mỗi nguyên nhân gây ra tình trạng đau nhức lại có những phương pháp điều trị khác nhau. Các cách khắc phục được bác sĩ điều trị như sau:
Do nguyên nhân bệnh lý: Bác sĩ sẽ tiến hành tháo mão sứ nếu chưa điều trị triệt để tình trạng sâu răng, viêm tủy và sau đó chữa khỏi các bệnh lý này cho bệnh nhân trước khi lắp lại mão sứ mới.
Do mão sứ bị cong, vênh thì bác sĩ sẽ phải tháo mão sứ cũ ra và thiết kế một mão sứ mới thay thế hoàn toàn. Lúc này bạn sẽ phải mất thêm 1 khoản chi phí để làm lại mão sứ.
Do chế độ ăn uống và vệ sinh thì bạn cần phải điều chỉnh lại những việc này để không làm tổn thương nướu. Nếu tình trạng tụt nướu quá nhiều thì bác sĩ sẽ phải thiết kế một mão sứ mới để tình trạng tụt nướu hở chân mão sứ không còn.

Nên chọn nha khoa uy tín để bọc răng sứ
Khắc phục tình trạng đau nhức sau khi bọc răng sứ thì ngay từ đầu bạn nên lựa chọn cơ sở nha khoa uy tín, có đội ngũ bác sĩ có chuyên môn và trang thiết bị hiện đại để thực hiện làm răng sứ.
Vì đội ngũ bác sĩ có chuyên môn sẽ giúp bạn có được kết quả phục hình răng tốt nhất. Họ sẽ phát hiện được ra bạn có mắc các bệnh lý răng miệng hay không. Nếu có thì sẽ điều trị khỏi trước khi bọc sứ.
Và nếu bác sĩ có chuyên môn cao thì sẽ không mắc các lỗi như mài răng bị quá tay, không có tình trạng cộm cấn, vênh khi lắp mão sứ lên răng. Công nghệ hiện đại của nha khoa cũng giúp cho quá trình bọc răng sứ không có những biến chứng đáng tiếc xảy ra.
Vậy nên việc chọn nha khoa thực hiện phủ răng sứ nano là điều vô cùng quan trọng để tránh những biến chứng bất thường sau khi bọc răng sứ. Nếu bạn vẫn đang băn khoăn không biết lựa chọn nha khoa như thế nào và muốn tìm cách điều trị các triệu chứng đau nhức thì hãy đến nha khoa Paris hoặc gọi đến số 19006900 để được tư vấn miễn phí 24/7.
